Dental Implants
A dental implant is a metal post that has an internal screw or clip that holds a false tooth (or teeth) in place. It is one of the most prevalent procedures to replace missing teeth.
Implants fit directly into your jawbone and hold false teeth in place in the same way that roots support natural teeth. Also known as an endosseous implant or fixture, it is a surgical component that borders with the bone of the jaw or skull to support a dental prosthesis such as a crown, bridge, denture, and facial prosthesis or to act as an orthodontic anchor.
Implants are usually made of titanium or titanium alloy. If you look after your implants properly and maintain good oral hygiene routine, they can last for the rest of your life.
Planning for dental implants focuses on the general health condition of the patient, the health condition the jaws and the shape, size, and position of the bones of the jaws, adjacent and opposing teeth.
Process
The implant process involves several steps that take place over a period of time from three to nine months. Implants are put into holes in the jaw with a local anaesthetic, the implant is then pushed into the gum and stitched in the gum. The bone then grows under the gum and around the implant to hold it firm, this can take several months. There are various methods used according to particular circumstances. Equally, the healing time will depend on the health of the patient receiving the treatment.
This popular procedure is usually straightforward, with a 95% success rate. Once you have recovered from implant surgery, your implants and replacement teeth should function as natural teeth, so you can eat and drink as normal.
Would implants be right for me?
First, you should decide whether implants could be right for you. Contact us to arrange an implant consultation and discussion and we will let you know the possibilities. Our team will be only too happy to help you with any questions you may have.
If you decide to go ahead, this is what will happen.
- Implants are put into holes in the jaw with a local anaesthetic. You can opt to have sedation for this procedure also.
- The implant is screwed or pushed in and the gum is stitched so that it heals over the implant
- Under the gum. the bone then grows round the implant to hold it firm. This takes several months.
Implants usually have two sections – the post in the jaw and an extension that is added later when the post is secure. Attaching the extension needs a small cut in the gum above the implant. You might have more than one implant. The replacement teeth might be fixed permanently (like a crown or bridge) or attached in a way which lets you remove them for cleaning (like a denture).
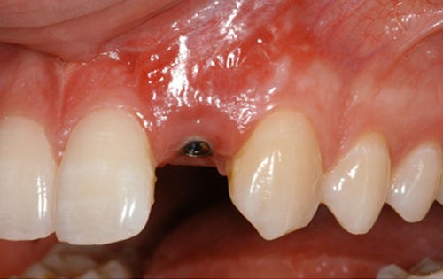
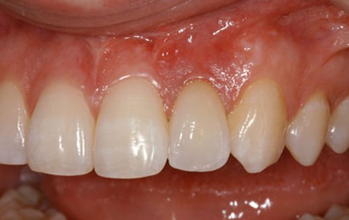
Implant Before and After Gallery









